Get Care

Dental Implants

What are Dental Implants?

How to take care of your oral health?

Hello, do you have any missing teeth or lost your teeth recently, If yes its big loss for you. Teeth are diamonds in the mouth. Losing them affects overall wellbeing.

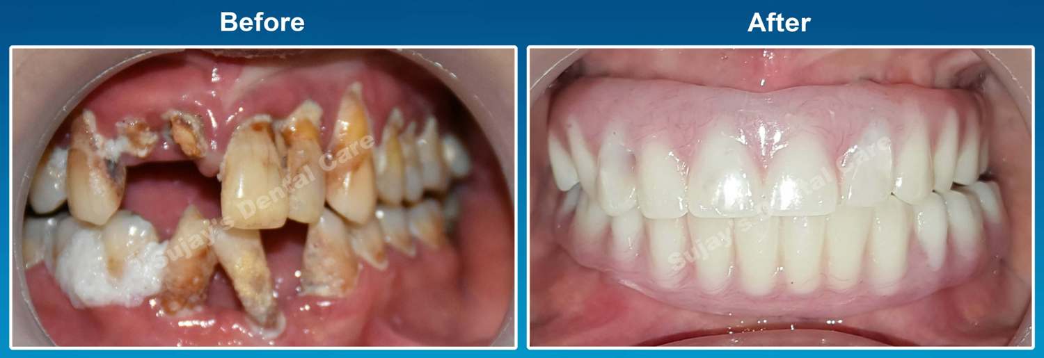
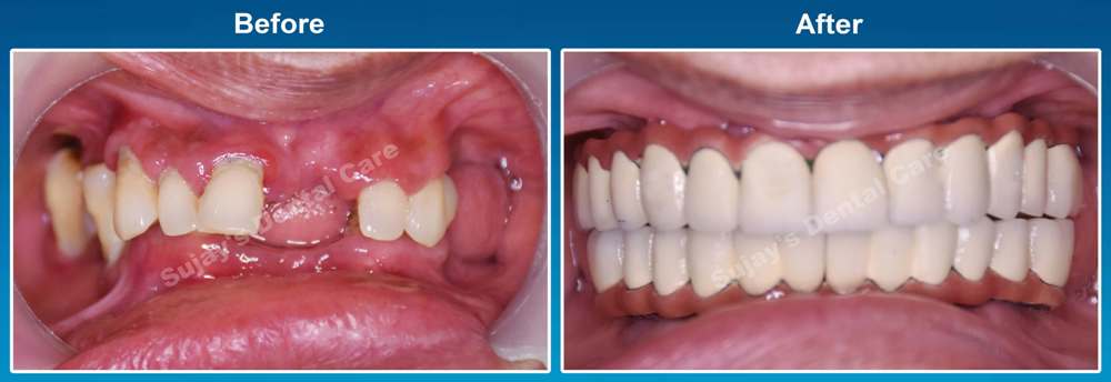
Tooth loss can be replaced using artificial tooth. The best among them is a dental implant. Dental implants are more natural and perfect replacement for your missing teeth. Get the best dental implant in bangalore at Sujay’s Dental Care.

Have you recently lost a tooth or multiple teeth?
Missing teeth can affect your appearance, speech, and even overall health.

At Sujay’s Dental Care, we help you restore your smile with advanced, evidence-based dental implants — the most natural, long-lasting, and comfortable replacement for missing teeth.

What is a Dental Implant?

Dental Implant is a more advanced form of replacement for tooth/teeth. It is a screw like an object which acts as the root of the tooth, normally made up of titanium metal or ceramic material.

The dental implant is placed into the jaw bone using a minor surgical procedure.
 

Parts of a Dental Implant:

A dental implant is made up of three parts

  1. Artificial root (dental implant screw)
  2. Artificial tooth/teeth
  3. Extension piece (connects both implant and tooth)

Frequently Asked Questions

1. Pain Management:
• You may experience some discomfort after the dental implant procedure.
• Take the prescribed pain medications as directed by our team of dentists. These medications will help manage pain and reduce swelling. If over-the-counter pain relievers are recommended, please follow professional instructions on dosage and timing.

2. Swelling and Bruising
• Swelling and bruising are common after dental implant surgery • Apply an ice pack to the affected area for 20 minutes on, then 20 minutes off during the first 24-48 hours to reduce swelling
• Keep your head elevated while sleeping for the first few nights to further minimize swelling

3. Oral Hygiene
• Maintain good oral hygiene to prevent infection. However, be gentle around the surgical site
• For the first 24 hours, avoid brushing the surgical area
• After the initial 24 hours, you can gently brush your teeth, being careful not to disturb the implant site
• Avoid strenuous spitting for the first 48 hours
[Rinse your mouth with warm saltwater (1/2 teaspoon of salt dissolved in 8 ounces of warm water) 2-3 times a day for one week, especially after meals.

4. Diet
• Stick to a soft diet for the first few days to prevent unnecessary stress on the implant site.
• Soft foods such as soups, yogurt, mashed potatoes, and smoothies are ideal.
• Avoid hot, spicy, or very cold foods and beverages immediately after the surgery.
• Gradually reintroduce solid foods as advised by your dentist.

5. Smoking and Alcohol
• Avoid smoking and alcohol consumption for at least one week (or as recommended) as they can interfere with the healing process.

6. Activity and Rest:
• Get plenty of rest during the first few days following the surgery.
• Normal can rejoin your work soon
• Avoid strenuous physical activities that could raise your blood pressure and cause bleeding or discomfort.

7. Medications and Antibiotics
• Take any prescribed antibiotics as directed by your dentist to prevent infection.
• Follow the recommended course of any prescribed medications, including antibiotics and anti-inflammatory drugs.

8. Follow-Up Appointments
• Attend all scheduled follow-up appointments with Dr. Sujay’s Dental Care Clinic to monitor your healing progress and address any concerns.

9. Avoid Disturbing the Surgical Site
• Do not touch, prod, or disturb the implant site with your fingers, tongue, or any foreign objects.
• Avoid playing with the implant area or testing its stability.

10. Signs of Complications
• Be vigilant for any signs of complications such as severe pain, excessive bleeding, persistent swelling, pus discharge, or signs of infection.
*If you experience any of these symptoms, contact Dr. Sujay’s Dental Care Clinic immediately.
Please note that these instructions are provided as general guidelines. Adhering to these instructions will promote a smoother recovery and enhance the long-term success of your dental implant.

Dental implants are not age specific; they can be used in all ages, they are avoided during growing age as bone growth is still continuing. Implants can easily replace any loss of teeth. Persons with systemic conditions like blood pressure, diabetes and heart disease require special attention and more prophylactic medicines to prepare them for dental implants. 

Teeth resemble more natural after the treatment.

Yes, an implant can be placed even in that case also, but if the extent of the bone loss is more, then we need to perform bone augmenting surgery.

Dental implant procedure has high success rate compared to other dental replacements. The general health and oral hygiene play an important role in the success of implant procedure.

Dental implants can last for decades if good oral hygiene and professional care are ensured.

Dental implant procedure is done under local anaesthesia. There is less chance of any pain. Most of the patients experience no pain; some may have slight discomfort after the procedure is over.

The time required to place an implant depends on location, accessibility and number of implants. A simple single implant takes around an hour to be placed.

After surgery, wounds are sutured, and there are no open wounds. There will mine minor discomfort and swelling in the operated area. The same can be managed using medications. Normality will be restored in 4 to 7 days.

Your dentist provides a diet instruction after the surgery. Beverages, hot food, spicy food are not recommended. Eating soft, nutritious food is preferred.

Yes, you perform normal activities after surgery, but avoid hard and strenuous works and also avoid long-distance travel after surgery.

The treatment differs from person to person according to their treatment plan. The procedure takes around 3 to 9 months depending upon the number of teeth replaced, healing of the wound and general health of the patient.

Before & After

Testimonials