Introduction:
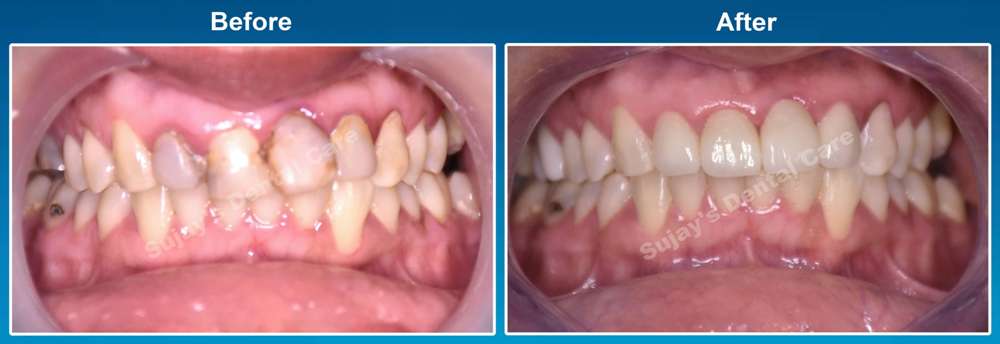
A 36-year old woman had visited Sujay’s Dental Care complaining about discoloured and chipped off fillings in the upper front teeth.
Patient had a history of fractured upper anteriors following trauma 10 years ago.
Evidence-Based Dentistry:
As a part of Evidence-based treatment, we took full mouth OPG. After examining OPG x-ray of the teeth, our team of dentists decided for
- Root canal treatment wrt 12,11,21,22, 16
- Advised RCT wrt 36
- Crowns wrt the root canal treated teeth.
*OPG before and after folllowing RCT.
Treatment Procedure:
- Preoperative radiographs and models were made.
- Mock up was performed on the models. Putty index was made.
- Existing composite restorations wrt 12,11.21,22 were removed that were deep.
- Secondary caries with the same were excavated and root canal treatment was completed.
- Root canal treatment was completed and crown was given wrt 16.
- Post and core was performed for the upper incisors, followed by crown preparation and final impressions.
- Crown lengthening was done wrt 12. Shade selection was done. Temporary crowns were made.
- Trial was carried out and patients consent was sought.
- Final cementation of the crowns were done using resin luting cement.
Follow Up:
- A regular follow up every 6 months is advised.



